With a vision to see Bahamians trained in their own culture, EBTC serves the entire Caribbean

 
 
 
 
 

 

QUICK LINKS
Apple
Student DTS
Cedarville
Hotmail

Sirius
Astronomy POD
Dallas Traffic
Dallas Weather
VCoins

FBC Mail

 

 

 

 

< BACK

LIFE SITES

to CMA
The Caribbean Ministries Association

to CCCA
Canyon Creek Christian Academy

to FBC Frisco
First Baptist Church Frisco

to DTS
Dallas Theological Seminary

PRAYER REQUESTS 2.28

You can pray with us about our future location either Eleuthera or Grand Bahama - we are considering both again.

Pray for us as we begin the process of raising support - finally

Pray for the missionaries on Eleuthera and the work of the ministry

Pray for Mono, my Bahamian friend who needs wisdom and guidance

Pray for Emily in her last few weeks of pregnacy

Pray for CMA, and our mission staff

The continued training of Bahamian students on the island of Spanish Wells

The Return of Christ

>>ANSWERED PRAYERS

 

3.13.08 - A Difficult Day

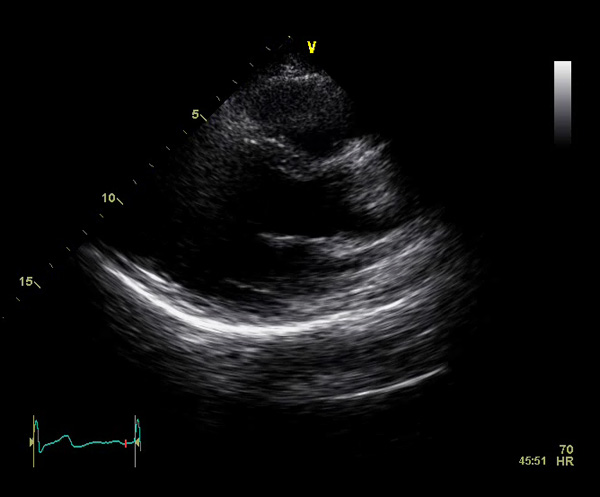
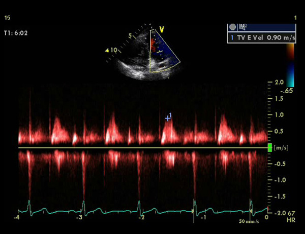
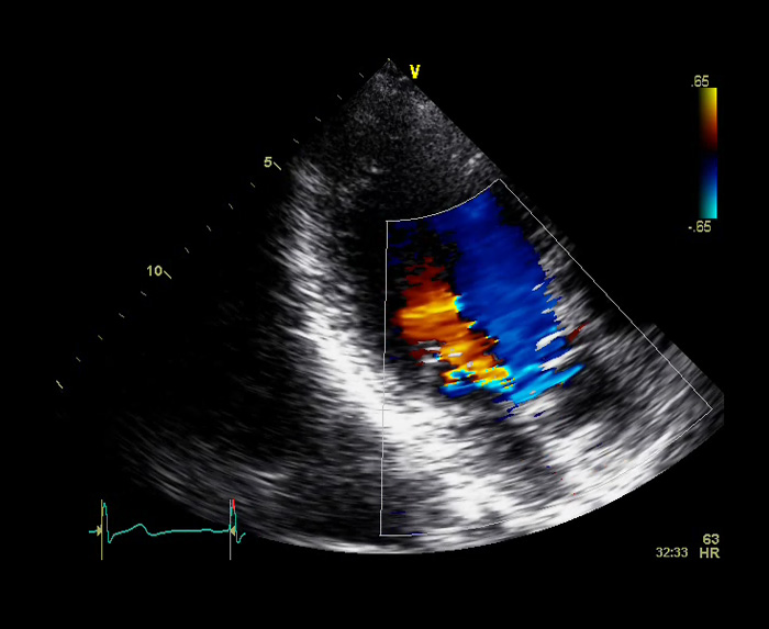
We found out yesterday that I have a hole in my heart. The uncovering of something which can threaten your life makes you face questions which you normally don’t try to answer.

On a normal aorta valve you have three flaps which prevent the blood from leaking back into your heart when it beats. My heart is what they call bicuspid meaning I only have two of the three flaps which leaves a hole; quite a visible hole.

The doctor says that this is congenital, meaning I’ve always had it, I’m only now having some discomfort and other symptoms which caused me to see the cardiologist. From what I’ve read, surgery is the only option to fix this, and the doctor said that I will have a valve replacement in my future.

The past two days have been like a rollercoaster without the assurance of a happy ending. For the first time in my life I’ve had to place new meaning on the phrase “hope of eternal life.” I feel like I can identify with the prayer requests for those going into surgery and the fear of the unknown.

I’d like to thank the many people who have sent emails and phone calls and who have been regularly praying for us once they heard our news. Thanks to our small group and the staff at church, to my wonderful DTS friends, Emily’s family and the many people back in Wisconsin and Pastor Steve at Our Saviors. I can say that the Lord is giving us peace in just enough amounts. We’re still scared and we’re reading a lot about the miracles God can and has done in the scriptures.

You know a good friend told me that one of the keys to miraculous healings is the fervent prayers from those who actually BELIEVE. Sometimes I think that God would choose to heal me through open heart surgery, but I want to believe He will do it through a miracle. The thought of my stopped heart outside of my body is quite unnerving.

I go back in 1 month for more treatment options and a checkup. If you believe, will you pray with us for a miracle, and also pray that we’d be given the grace we need to handle whatever circumstances are on our journey. Right now, our mission and ministry plans are the same, and Emily’s pregnancy is nearing completion. Thank you again to the decentralized Church which has been praying for us. Thank you.